Articole

Importanţa efectuării procedurii de videocolposcopie
Videocolposcopia se numără printre cele mai inovatoare metode de diagnosticare şimonitorizare a afecţiunilor de la nivelul colului uterin. Vorbim despre o procedură avansată ceutilizează imagini

Ecografia 5D – beneficiile acestei tehnologii revoluţionare
În ultimul deceniu, domeniul medical s-a bucurat de o evoluţie remarcabilă. La momentul actual, viitorii părinţi au oportunitatea de a vedea trăsăturile bebeluşilor chiar înainte

Monitorizarea foliculară – ghid complet pentru viitoarele mămici
Monitorizarea foliculară se numără printre cele mai importante proceduri la care iau parte femeile ce îşi doresc să devină mame. Aceasta se dovedeşte a fi

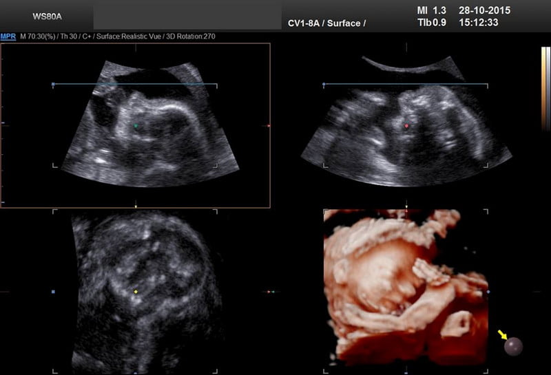
Ecografia 3D – o procedură medicală esenţială pentru femeile însărcinate
Cunoscută şi sub denumirea de ecografie morfo-fetală, ecografia 3D este recomandată tuturor femeilor însărcinate. Vorbim despre o tehnică modernă de imagistică medicală ce permite medicului

Ecografia mamară (mamografia) – un aliat în lupta contra cancerului de sân
Potrivit studiilor efectuate în ultimii ani, cancerul de sân se numără printre cele mai des întâlnite afecţiuni în rândul femeilor din întreaga lume. Ecografia mamară,
